People Died From mRNA-Vaccine- Damaged Hearts, New Peer-Reviewed German Study Provides Direct Evidence


德國海德堡海德堡大學醫院的醫學病理學家發表了直接證據,證明人們在接種 mRNA 疫苗後死亡。正如這個由六名科學家組成的團隊在他們的研究中探索的那樣,這些接種了 mRNA 疫苗的患者因心臟受到自身免疫細胞的攻擊而遭受心臟損傷。這種對他們自己的心臟細胞的自身免疫攻擊導致他們受損的心臟每秒跳動如此之多,一旦心動過速意外開始,他們會在幾分鐘內死亡。
這篇名為“抗 SARS-CoV-2 疫苗接種後心肌炎的屍檢組織病理學特徵”的文章於 2022 年 11 月 27 日發表在德國心臟病學會官方期刊《心臟病學臨床研究》雜誌上。研究小組對 25 名不同年齡的受害者進行了屍檢,這些受害者被發現在接種疫苗後 28 天內死在家中。他們在顯微鏡下觀察了他們的心臟組織,以找出為什麼這些人在沒有明顯的潛在心臟病的情況下死於心律紊亂。
用作者自己的話說:“我們的研究結果確立了致命性疫苗接種相關心肌炎的組織學表型。”
組織學表型是指直接觀察微觀組織。
在一段分析結果的視頻中,英國護士教育家約翰坎貝爾博士告訴聽眾:“這是經過同行評審的。這是正確的科學,也是由一群領先的德國病理學家做出的明確病理診斷。” 坎貝爾的視頻已被觀看 918,000 次。他的頻道擁有 258 萬訂閱者。
Died of Ventricular Tachycardia or Fibrillation
Ventricular tachycardia is when the heart begins beating so fast that it doesn’t have time to refill with blood between beats, so it is not adequately pumping blood. The problem originates from the ventricles: the chambers that push the blood out of the heart to the rest of the body. Fibrillation is when, instead of the heart actually beating, it starts to just quiver. This problem can originate from the ventricles or the atria. The atria are the upper chambers that basically suck blood into the heart by expanding and contracting. Though more people are familiar with A-Fib (atrial fibrillation), ventricular fibrillation is much more dangerous, and usually lethal within minutes. The deceased whose hearts were autopsied in this study were found dead at home, each having died of ventricular tachycardia or fibrillation within 28 days of mRNA vaccination.
死於室性心動過速或顫動
室性心動過速是指心臟開始跳動得太快以至於沒有時間在兩次跳動之間重新充滿血液,因此無法充分泵血。問題源於心室:將血液從心臟推向身體其他部位的腔室。
顫動是指心臟不再真正跳動,而是開始顫抖。這個問題可能起源於心室或心房。心房是上部腔室,基本上通過擴張和收縮將血液吸入心臟。儘管更多人熟悉 A-Fib(心房顫動),但心室顫動更危險,通常在幾分鐘內就會致命。
在這項研究中進行心臟解剖的死者被發現死在家裡,每個人都在 mRNA 疫苗接種後的 28 天內死於室性心動過速或顫動。
明顯受損的心臟
巨噬細胞是我們免疫系統的一部分的大細胞。當免疫系統正常運作時,我們的身體會使用巨噬細胞來攻擊傳染源和其他異物。據西北大學的研究人員稱,巨噬細胞是先天免疫系統的關鍵部分,有助於正常組織發育以及修復受損組織。
但對於那些在接種疫苗後一個月內突然死亡的人來說,身體自身的巨噬細胞會滲透到他們的心肌中,吞噬肌肉並產生擾亂心律的斑點。這種巨噬細胞入侵似乎確實使心臟的電脈衝傳導短路,導致心臟不規則跳動。
不規則的心跳導致負反饋循環,使心跳越來越快,因為它試圖自我調整。當這種情況發生時,心臟實際上不再泵血,受害者會在幾秒鐘或幾分鐘內死亡,除非附近有除顫器——向心臟提供電擊以幫助它恢復節律——並且有人知道要立即使用它.
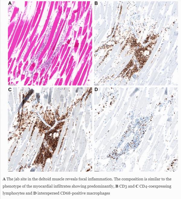
德國研究人員的同行評審研究包括顯示受害者心臟細胞受損的顯微鏡圖像、心肌中淋巴細胞(另一種較小的免疫細胞)的存在以及心肌中的侵入性巨噬細胞。在心臟組織中發現了巨噬細胞和稱為 T 輔助細胞的淋巴細胞。免疫細胞集中在斑點上,每個斑點稱為焦點。像這樣的受損心臟組織斑點會產生異常信號,擾亂心臟平穩的節律。
心臟中有成千上萬的心肌細胞。這些細胞不是被動的,就像二頭肌中的細胞需要單獨的神經才能移動一樣。相反,心臟細胞會產生自己的電脈衝。
心肌細胞也像神經一樣,將信號傳遞給相鄰的肌肉細胞或從相鄰的肌肉細胞傳遞信號。這使它們的收縮同步,並使心跳保持規律的連續性。
心臟一旦跳動,就需要付出很多努力才能停止。打破這種節奏的焦點就像中學樂隊中的糟糕鼓手。它會導致一連串的混亂,阻止心臟有效地泵血。
心肌炎:公認的疫苗不良事件
WHO 和 CDC 確實認可 mRNA 疫苗接種後的心肌炎。兩家監管機構都認為這是一種“公認但罕見的併發症”。大多數醫生也將心肌炎病例視為“輕度”。
但正如坎貝爾指出的那樣,德國研究的已故受試者也據稱患有“輕度”心肌炎。心肌炎只出現在一些微小的斑點中。然而,這些斑點的電力中斷導致了迅速而戲劇性的死亡。換句話說,沒有輕度心肌炎,正如一位名叫 Aiden Ekanayake 的 mRNA 疫苗受傷青少年的父母所說。
坎貝爾建議臨床醫生“高度懷疑”接種 mRNA 疫苗的人可能會患上這種自身免疫性心肌炎,以便他們可以在人們還活着的時候對其進行診斷和治療。臨床醫生假裝這種疫苗傷害“罕見且輕微”,導致了無數本可以避免的悲劇。
你的身體攻擊你自己的心臟細胞
需要明確的是,這不是直接損害心臟的 mRNA 疫苗——它更糟。mRNA 被注入您的肌肉細胞,將細胞變成生產 COVID-19 刺突蛋白的工廠。
由於 mRNA 免疫,您的身體會產生針對 COVID-19 刺突蛋白的免疫反應。
由於您自己的肌肉細胞被用來製造 COVID-19 刺突蛋白,並且可能將它們置於細胞表面,因此針對刺突蛋白的新武器化免疫細胞可能會開始攻擊您自己的健康肌肉細胞。
德國的這項新研究顯示了這種情況發生並導致人員死亡的照片證據。
相關性還是因果關係?
今年早些時候發表在《美國醫學會雜誌》上的一項原始調查發現,在接種 mRNA 疫苗後,意想不到的人群中出現了許多心肌炎病例,尤其是男孩和年輕男性。
奧斯汀布拉德福德希爾爵士是一位英國醫學統計學家,他於 1965 年建立了一套流行病學指南,現在稱為布拉德福德希爾標準,有助於證明因果關係。如果我們將 Bradford Hill 標準應用於這項新研究,它表明這些患者的致死性心肌炎確實是由 mRNA 疫苗引起的。德國的研究證明了 Bradford Hill 的強度標準(兩件事同時發生的次數越多,一件事引起另一件事的可能性就越大,即使是罕見的事件);一致性(mRNA 疫苗誘發的心肌炎導致猝死的發現在不同的地方和人群中一直存在);特異性(對於 Bradford Hill,這是當單一原因產生單一效果時。在這種情況下,原因是 mRNA 疫苗,效果是心肌炎);還有幾個。
事實上,德國研究人員排除了致命性心肌炎可能由其他原因引起的可能性。他們的研究還顯示了“一致性”,這是 Bradford Hill 的另一個標準,即在流行病學研究和實驗室樣本中發現相同的效果。
Bradford Hill 的另一個標準是類比:這種因果關係是否與我們已經了解的其他醫學問題相似?在這種情況下,類比標準得到滿足,因為我們已經了解對自己心臟的自身免疫反應會導致巨細胞性心肌炎,這是一種危及生命的疾病,會導致超過三分之二的確診患者出現室性心動過速和猝死用它。
為了確定因果關係,布拉德福德希爾還詢問這種關係是否合理:是否存在一種機制可以使一件事導致另一件事?這些屍檢也證明了其合理性:德國研究人員清楚地展示了這一機制。正如 Campbell 在他的視頻評論中所說:“你不能與在顯微鏡下拍攝的照片爭論。”
要使用 Bradford Hill 的標準建立因果關係,只需滿足九個觀點中的一個或兩個。這項研究表明,對於 mRNA 疫苗和心臟損傷,Bradford Hill 的九項標準中有七項得到滿足——流行病學上的扣籃得分。
證據在於:mRNA 疫苗會導致心肌炎,它會導致您自身的免疫細胞攻擊您的心臟,這可能會因室性心動過速或顫動導致猝死。
關注
Jennifer Margulis 博士,她是一位屢獲殊榮的記者,也是“你的孩子,你的方式:為更幸福、更健康的家庭負責懷孕、分娩和育兒決定”一書的作者。作為富布賴特獎獲得者和四個孩子的母親,她曾在西非開展兒童生存運動,在法國黃金時段的電視上倡導結束巴基斯坦的兒童奴役,並在內陸向非傳統學生教授後殖民文學。 -城市亞特蘭大。在 JenniferMargulis.net 上了解更多關於她的信息
https://covid19-science.primer.ai/5322aaf6-974b-46da- 92e0-ac0a0f754a21/article/en_search::18e23538-e199- 5e4d-a858-20eeb7b434c6







https://link.springer.com/article/10.1007/s00392-022-02129-5

根據周一發表在《自然心血管研究》上的一項研究,COVID-19 和 mRNA COVID-19 疫苗與體位性心動過速綜合徵 ( POTS ) 有關,這是一種使人衰弱的自主神經系統疾病。
POTS symptoms include an elevated heart rate, dizziness, heart palpitations, fainting, lightheadedness, headaches, chest pain, brain fog, anxiety, depression and fatigue, among others.
POTS 症狀包括心率加快、頭暈、心悸、昏厥、頭暈、頭痛、胸痛、腦霧、焦慮、抑鬱和疲勞等。 比較接種疫苗前後 90 天的 POTS 診斷,研究人員發現一些接種了COVID-19疫苗的患者可能會出現 POTS 作為對疫苗接種的反應。 他們還發現,被診斷患有 COVID-19 的人在感染後患上 POTS 的可能性是接種疫苗後患上 POTS 的人的五倍。 之前有幾項研究證實 POTS 是一種可能的 COVID-19 後綜合症,但這項研究也驗證了接種疫苗後出現 POTS 的報告。 研究人員假設 POTS 可能與疫苗有關,因為疫苗接種會引發對 SARS-CoV-2 刺突蛋白的免疫反應。這項研究證實了這一假設。 “我們可以更明確地說,我們認為這種 [疫苗接種後 POTS] 是真實的觀察結果,”首席研究員Alan Kwan 博士 告訴 TCTMD。 “它並不能完全告訴個體患者,‘這就是你接種疫苗後患 POTS 的具體幾率’,但我們相信這從本質上為可能發生 POTS 的觀察帶來了一些有效性接種疫苗後,儘管接種率明顯低於 [COVID-19 本身]。” 研究人員分析了 2020 年至 2022 年間來自洛杉磯縣Cedars-Sinai 衛生系統的 284,592 名接種疫苗的患者和 12,460 名 COVID-19 患者的數據。 大多數接種疫苗的人都接種了輝瑞或 Moderna mRNA 疫苗。感染 COVID-19 的人尚未接種疫苗。 在接種疫苗的患者中,接種疫苗後 POTS 的診斷率高於接種疫苗後通常向初級保健醫生報告的其他新病症,儘管疫苗接種與心肌炎之間的關聯更強。 在未接種疫苗的患者中,COVID-19 與 POTS 相關診斷的幾率更高有關。值得注意的是,感染 COVID-19 後的 POTS 診斷率高於接種疫苗後的診斷率。 該研究的一個局限性是它檢查了接種過 COVID-19 疫苗的人和未接種過 COVID-19 疫苗的人,但它排除了接種過疫苗但也感染了病毒的人。 “換句話說,他們沒有回答一個大問題,” The Defender 的高級科學編輯Madhava Setty 博士說,“即一旦你感染了 COVID-19,接種疫苗是否會降低你患 POTS(或其他疾病)的風險—— 19 歲。 “因為疫苗不能預防感染,而且我們不知道疫苗是否能降低 COVID-19 後感染 POTS 的風險,所以我們不知道風險是否大於收益,”Setty 說。 越來越多關於疫苗副作用的證據 Setty 說,這項研究增加了越來越多的同行評審證據,證明疫苗的副作用,這是主流媒體很少報道的話題。 Setty 說,在報道將 COVID-19 和 mRNA 疫苗與 POTS 聯繫起來的研究時,NBC 新聞不僅提到了疫苗與 POTS 的聯繫,甚至還把它放在了標題中——這對於主流媒體來說是罕見的。 只有在聯邦法官要求美國食品和藥物管理局發布與輝瑞公司臨床試驗有關的文件後,製藥公司的疫苗相關不良事件數據才會公開。 疫苗文件顯示輝瑞公司淡化參與者遭受的嚴重不良事件的證據。 在一系列證明 mRNA 疫苗如何影響心臟的同行評審研究後,輝瑞和 Moderna 被迫啟動臨床試驗,以追蹤在青少年和年輕人中診斷出疫苗相關性心肌炎和心包炎後的長期健康問題。 最近的研究表明,對於 18-29 歲的年輕人, COVID-19 加強劑的任何潛在好處都無法超過與疫苗副作用相關的危害。 美國疾病控制與預防中心 12 月 2 日發布的最新數據顯示,疫苗不良事件報告系統 (VAERS) 共報告了595 例POTS,其中437 例歸因於輝瑞,134 例歸因於 Moderna 和強生有23 例。 總體而言,在 2020 年 12 月 14 日至 2022 年 12 月 2 日期間,向 VAERS 提交了1,476,227 份 COVID-19 疫苗接種後不良事件報告。 VAERS 是美國主要的政府資助的疫苗不良反應報告系統 該數據包括同一時間段內總共32,691 起死亡報告和268,885 起重傷報告,包括死亡。 截至 12 月 7 日,美國已接種 6.57 億劑 COVID-19 疫苗。
https://childrenshealthdefense.org/defender/mrna-vaccines-covid-pots/









 














https://gettr.com/user/adelin
















|